云龙:我种了一颗牙

【byb.cn 管理员】编者按:牙齿对于一个人来说非常重要,它不仅是你吃东西必备的工具,同时,也是你的一张社交名片。发达国家的人,从小就对牙齿的健康很重视,德国人平均一生花费在牙齿保健和治疗的费用,相当于一辆宝马轿车......
很多人都会因为各种原因造成牙齿的缺失,尤其是前牙,不仅影响咀嚼,而且影响美观。那对于个别牙齿的缺损,该如何补救呢?下面这篇文章,是网友云龙根据自身的经历写的,如何种植下门牙。
本人自小牙齿就不好,但保养还算到位,所以直到45岁了才掉了一颗。怎么补呢?一直在烤瓷牙和种植牙之间犹豫。最后下了决心,于2014年7月5日选择进行种植牙。
历经半年,于2015年1月19日成功完成。现在把亲历的过程写下来,供网友们参考。毕竟,"纸上得来终觉浅",只有亲身的体验才最有说服力。
一、 补救选择
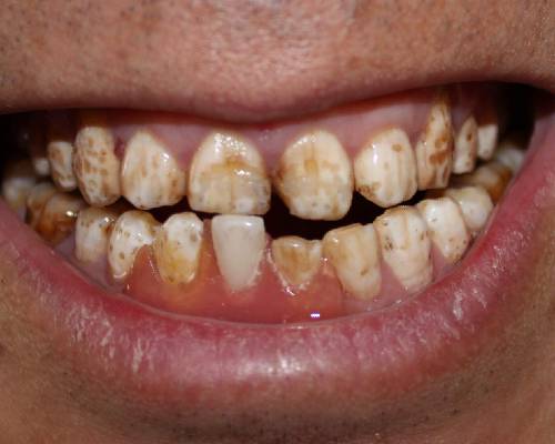
本人居住山西运城,属于黄土高原的汾河南塬,当地水质不好,含氟很高,所以自小喝这种水长大,牙齿质量可想而知:黄、斑、脆、歪,是典型的"氟斑牙"的特征。(见下图)
氟斑牙
好在本人从小坚持刷牙到现在,效果很好!满口31颗牙齿,除了质量差点,倒没有其他问题,竟然坚持了45年!而同龄朋友,很多人的牙齿都已经拔了不少了。
然而好景不长,2013年春天,由于过于用力撕咬硬物,导致下门牙一颗松动,随着时间推移,活动的幅度越来越大!当时还幻想着保留,然后各种措施都想了,却越来越疼,最后只得拔掉。拔掉后才发现,原来是受过外伤,这个牙中间已经裂开了!说明只要注意保护,牙齿还是可以长寿的。

缺牙的惨状
如何补救缺失的下门牙呢?有多种选择:烤瓷牙、活动假牙、种植牙等。都各有优缺点,试列举如下:
(1)烤瓷牙
技术最成熟,成本也不高。缺点是要用两边的牙齿做支撑,所以要磨损好牙的一部分,以便做支托。本人非常不乐意!
(2)活动假牙
也有很多种,金属牙基本不考虑:前门牙太难看了!隐形牙倒是能考虑,但不能咬硬物,容易受热变形,吃饭时有时掉出来。
(3)种植牙最可靠
耐用、美观、坚固,种植体的优势在于恢复咀嚼能力在所有义齿中是最高的,医学测算在98%左右(这是相比于天然牙的)。其他的如固定桥在95%,活动义齿在70-85%。同时种植牙寿命也很长,保护好的话能用终身。
但也有缺点:首先是价格昂贵,根据种植材料的不同,每颗牙的价格从数千元到两万不等;其次需要做个小手术,在缺牙的牙骨床上打个洞,把种植体(一般是纯钛)放进去,过三到六个月长结实了再做个牙冠。
当时再三考虑后,还是先掏了几百元做了个隐形牙。一来是拿不定主意,二来是想多了解种植牙的利与弊,万一做不好了很麻烦。结果用了一年的隐形牙,太麻烦了!每次饭后都要清洁,每天晚上摘下泡水里,感觉整个人都变老了!再加上有时吃饭掉出来,更是烦恼。

隐形牙

隐形牙佩戴效果
最后决定选择种植牙。原因有三:
一是前门牙是人的脸面,必须解决好!
二是门牙功能较单一,主要是切割食物,磨损和负担较小;
三是花费方面只种一颗试试,大不了扔几千块钱就是了;
四是技术方面,老同学开了个牙科医院,规模和水平还可以,加上聘请了全军最高水平的西安第四军医大学的专家教授来出诊,更保险了些。说干就干:提前预约好后,再拍个牙片,检查后牙槽骨没有问题,一切就绪。
二、 一次手术
7月5日驱车来到牙科医院,然后院长安排护士专程陪我完成各项流程。
首先,是洁牙:消毒水漱口后,对全部牙齿进行了细致的清洁、洗牙。用时20分钟。
其次,术前准备。洁牙出来后,和专家检查、交流,看了牙片,认为我的牙槽骨由于长达一年多没有种植,有点吸收,需要加骨粉,以增强种植效果。
手术:10:20开始进手术室,心中有点忐忑,怕万一钻透下巴,伤害了神经怎么办?后来证明一切多虑了。正规医院、高水平专家、专用器械,保证了手术的顺利进行。
10:50手术结束,一颗价值9000元的钛牙种植体已经埋进了我的牙槽骨。只不过麻醉过后的难受,让人痛不欲生!只好买了个棒冰,冷敷了半天,总算减轻了些。到晚上,除了下巴仍有些麻木外,一切正常。
第一次手术后当天伤口
7天后,又到医院拆了线,医生观察后认为伤口痊愈良好,待12月份再二次手术。
一个多月过去了,一切都好。伤口长好了,感觉与术前没啥不同。隐形牙经过削磨,继续戴上,保持美观,也防止缺牙处时间长了,邻牙长歪了。静等12月份二次手术:安装牙冠。
三、二次手术
好不容易等了5个月,感觉到时候了,又预约好时间,到牙科医院进行种植牙的第二次手术。
这次比较简单了,主要是把上次的种植体打开,安上基帽,留出种植牙冠的位置,再次痊愈后(约一个月后),再进行最后的制作瓷牙冠,所以心情自然很放松。不过是周末,人太多!好在院长是老同学,总算安排下班前完成了。
手术用时约20分钟:11:35开始,不到12:00结束。先打麻药,一共4针,真疼!打完后马上就没疼痛了。医生先剥开已经长好的牙龈上部,刮开周围牙骨,暴露种植体后,使用专门的工具拧下体帽,然后再装上基托,缝合伤口,完成!
这次手术的痛苦指数直线下降,不到半天时间,感觉就只有点隐约疼痛,已经可以正常用餐了。当然,伤口处要注意保护。

二次手术后情况(中间白色就是基托)

拆线后的基托
四、制作牙冠
2015年1月3日,到牙科医院咬了牙模,照了相片,十来分钟就完成了!
有个小插曲:原来以为照相片是为了留存病例用,结果等牙冠制作好了才知道,是为了保证牙冠与周围正常牙颜色、质地一致,要通过照片调整、修正、仿真、补色。果然,最后的牙冠,效果极为逼真,与本人的真牙毫无二致。
五、种植完成
2015年1月19日,护士电话通知牙冠制作完成,随时可以安装。
我马上驱车赶到医院,找到预约的医生,看到了制作好的牙齿,比照其他牙齿非常接近。医生首先拆下托帽,然后再安装上一个特殊的基架,相当于打磨好的牙根。最后往中间的小洞里填充药棉和密封物,把制作好的牙冠粘好、固定在基架上,就此大功告成了。
照了照镜子,非常和谐。医生说与正常牙没有什么区别,立刻就能吃饭、刷牙,以后的寿命可能比正常牙齿还要长。

种植后的最后效果
过了十天了,感觉非常好!一点异物感都没有,与正常牙没有任何区别,切咬非常有劲。真值!
【别有病网点评】
为了便于大家更详细地了解种植牙,给大家提供一点资料:
那什么是种植牙呢?种植牙也叫人工种植牙,并不是真的种上自然牙齿,而是通过医学方式,将与人体骨质兼容性高的纯钛金属,经过精密的设计,制造成类似牙根的圆柱体或其他形状,以外科小手术的方式植入缺牙区的牙槽骨内,经过 1~3 个月后,当人工牙根与牙槽骨密合后,再在人工牙根上制作烤瓷牙冠。因不具破坏性,种植牙已被口腔医学界公认为缺牙的首选修复方式。 种植牙由于人工牙深植牙骨内,可承受正常的咀嚼力量,功能和美观上几乎和自然牙一样,因此,被人们称为人类的第三副牙齿。
需要指出的是,对于重度牙周病患者,当牙槽骨吸收的严重时,是不适合做种植牙的,因为,有可能还会发生种植体周围炎,所以,不要以为安装了种植牙就可以一劳永逸了!做好口腔日常保健,是我们毕生的工作。
- [网友]花溪:倾诉 让咽痛消失06-09
- [网友]花溪:油拔排毒的具体方法02-23
- [网友]花溪:让我们一起做油拔02-16
- [网友]花溪:糖尿病人的食谱07-10
- [网友]花溪:老公降糖记07-01
- [网友]宇峰:惊竦-竟从膝盖里拔出...10-20
- [网友]花溪:节后的深度灌肠效果惊...10-14
- [网友]印善:体会春三月的"发陈"05-21
- [事件]小关节紊乱腰酸背痛12-13
- [事件]人们越来越爱冒险12-13
- [事件]多囊降低女人性欲12-13
- [事件]意大利人活得长但不够好12-12
- [事件]每天3000步认知下降迟3...12-12
- [事件]“肥胖癌”正在增多12-12
- [本站]40多岁女天一冷就憋不住尿12-11
- [事件]不该有“老年气味”12-11

